深圳口腔牙科_种植牙_牙齿矫正_泰康拜博口腔官方网站 -
您好,欢迎来到泰康拜博口腔!
世界500强泰康集团旗下
客服电话:
400-850-0755
首页
HOME
医院介绍
INTRODUCTION
医生团队
DOCTOR TEAM
来院路线
HOSPITAL ROUTE
泰康公益
public welfare
牙齿种植
牙齿矫正
牙齿修复
根管治疗
牙周治疗
树脂补牙
舒适拔牙
洁牙
牙齿美白
树脂补牙
简介
TAIKANG BYBO DENTAL
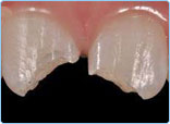
树脂补牙即选用树脂材料进行补牙,树脂材料分很多种,每种材料有不同的特性与价格。树脂补牙美观、耐磨、强度大、使用寿命更久。牙齿出现龋齿、楔状缺损、外伤等情况牙体组织缺损都需修补,以恢复其外形和功能,当病变已波及牙髓,甚至引起根尖周病时,应先治疗牙髓,再行补牙。
-
适应症状
-
牙折断
瓜子牙
蛀牙
牙缺损
树脂补牙
遵循国际标准流程
TAIKANG BYBO DENTAAL
泰康拜博口腔从美国引进的3M树脂补牙,其填料的颗粒度达到纳米级,具有半透明性,类似自然牙,且具有乳光色泽,将牙齿的抛光性和持久性合理结合,不易脱落,是补牙的优选。
树脂补牙
高真修复坏牙
TAIKANG BYBO DENTAAL
问题
我的牙齿情况如何修复呢?
医生回答
泰康拜博树脂补牙融入美学理念,更好的帮助您恢复牙齿功能,更能让您拥有灿烂笑容。
咨询详情
补牙
严格遵循口腔诊疗标准
TAIKANG BYBO DENTAAL
药房
专人负责,每样药品经过质量验证。
药房
专人负责,每样药品经过质量验证。
设备
就诊安全,提高治疗效率
设备
就诊安全,提高治疗效率
美国Beyond蓝光美白仪
采用了昂贵、无害的美白剂,应用氧化还原原理进行美白。
美国Beyond蓝光美白仪
采用了昂贵、无害的美白剂,应用氧化还原原理进行美白。
CT全景机
开启可视化手术治疗的新时代,为手术安全保驾护航。
CT全景机
开启可视化手术治疗的新时代,为手术安全保驾护航。
法国DHT麻醉系统
操作简单,执笔式握住手柄,通过脚踏操作即可。
树脂补牙
高资历医师
TAIKANG BYBO DENTAAL
吕效杰
副主任医师
医学硕士
副主任医师
口腔颌面外科医师
查看更多>>
任红旺
主治医师
博士研究生
口腔种植、牙周医生
中华口腔医学会会员
查看更多>>
石美姣
口腔全科医生
口腔全科医生
查看更多>>
树脂补牙
案例展示
TAIKANG BYBO DENTAAL
树脂补牙
常见问题
TAIKANG BYBO DENTAAL